雖然存在高淘汰率
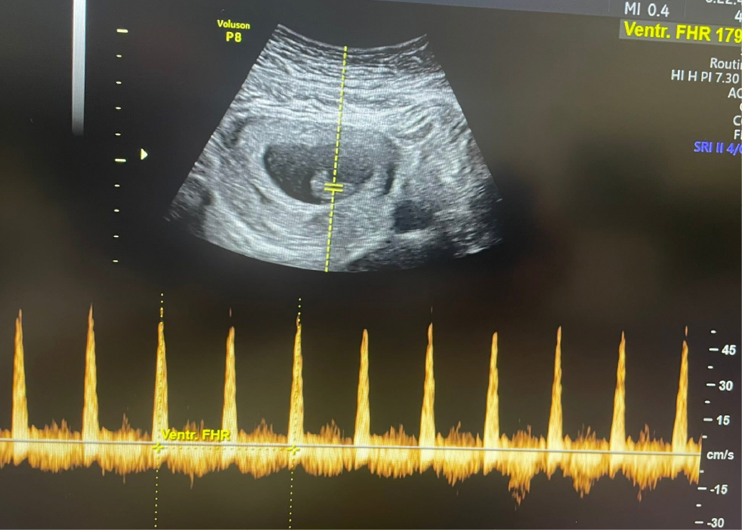
目前已來到8+周心跳活力好棒棒💖
開心領了媽媽手冊完成第一次產檢😄
1st IVF 28歲: TVOR 18#, MII 9#, 2PN 5#, frozen blastocyst 5BB/5BB/2BC/2BC.
2nd IVF 29歲: TVOR 15#, MII 10#, 2PN 6#, frozen blastocyst 4AB/4AB.
依年齡染色體正常率
5BB為55%~65%
4AB為65%~75%
第一顆5BB植入沒有著床
第二顆5BB植入前有做子宮內膜微刺激
著床至7+周沒心跳淘汰
第一顆4AB 植入前有做子宮內膜微刺激
搭配益生菌優化子宮及陰道環境
並採用modified 自然週期順利著床
目前已來到8+周心跳活力好棒棒💖
Why 卵子成熟、受精及囊胚養成過程折損率這麼大?🧐
研究顯示PCOS 的體質容易因濾泡的微環境不良影響而造成
Metformin + 降低雄性激素+營養品肌醇、Q10 + BMI偏高減重5~10% + 檢測是否缺鋅補充鋅,綜合以上可能獲得改善!
雖然存在高淘汰率
但只要胚胎能夠成功發育到第5天
並形成5BB/4AB這種優良等級的囊胚
這顆胚胎就已經通過了早期的篩選
此時影響其染色體狀態的關鍵因素仍是卵子的基因品質(與年齡相關)
而不是PCOS本身


