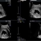
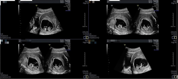
今天懷孕10+周
胎兒大小,心跳及活動力都好棒棒👍
真的是好開心😄
感謝夫妻同意與大家分享他們的第一次試管歷程🙏
36歲客戶. AMH 4.0
有巧克力囊腫及子宮腺肌瘤
CA-125 40+
開始療程之前有跟客戶規劃
先刺激取卵
希望卵及胚胎能夠escape 子宮內膜異位症的不利的影響
但植入之前要考慮優化子宮著床環境
壓抑子宮內膜活性再來進行胚胎植入
月經週期的第三天開始
以pergovaris及Letrozole 刺激卵巢
追蹤過程發現卵泡生長大小不如預期
追加生長激素來rescue
最後取卵14#, MII 9#, 2PN 8#
冷凍了D5 5#囊胚. 5AA/5BB/4AA/4BC/4BC
療程中同時發現有數顆巧克力囊腫
還有子宮內膜息肉1.4x1.1公分
取卵後的MC
施以治療子宮內膜異位症的停經針+ 第四代黃體素
一個月後進入植入療程
這期間也轉介客戶到桃園醫院
請李丞鎧醫師完成子宮鏡內膜息肉切除
植入1# 5AA囊胚順利成功懷孕
於7周超音波檢查發現有雙胞胎妊娠🧐
目前兩位寶寶都充滿活力💖
期待您們在媽媽的子宮健康快樂的生長
🥰
國建署110開始試管療程補助
但限定36歲以上才可以植入2顆胚胎
114年11月擴大補助方案
可是限定滿39歲才可以植入2顆胚胎
雖然115年四月起降為滿38歲即可植2顆胚胎
其目的都是在降低雙胞胎甚至多胞胎的機率
以減少孕產婦的風險及早產兒短長期的併發症
但是植入1顆胚胎仍然有1~2%機率會有同卵雙胞胎發生
同卵雙胞胎若是單ㄧ羊膜腔的風險將會更高
面對關關難過、關關過👍
卵子及胚胎躲過子宮內膜異位症的不利影響
子宮環境及子宮腔狀況也順利優化
第一次試管第一次植入成功懷孕
祝福孕媽媽平平安安順順利利💖
夫妻心想事成萬事如意💕
Keep pushing through !🙏


